发布时间:2026-04-19 来源:辉景科技
产品描述

MSX11-C是明美新研发的显微数字相机,采用高性能成像芯片,内置MS系列硬件ISP图像处理芯片,针对显微镜拍摄场景特别优化,准确还原样品的精细结构和真实色彩,通过硬件加速,提升了相机运行速度,是荧光拍摄、病理诊断、金相分析和体视观察等应用领域的理想工具。
特点:
2100万超高分辨率显微相机,,准确还原样品的精细结构
4/3英寸大靶面芯片,大视野采集,所拍即所见
MS系列硬件ISP图像处理芯片,色彩真实准确,助力病理诊断
半导体制冷,低于室温15度,噪声控制水平优越,带来好的荧光拍摄体验
大分辨率下21fps,全分辨率下保持流畅
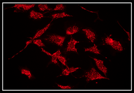
实拍图片



产品参数
产品型号 | MSX11-C | |
有效像素 | 2100万 | |
芯片尺寸 | 4/3英寸 | |
像元尺寸 | 3.3 um*3.3 um | |
分辨率 | 5280*3956 | |
最大帧率 | 21FPS | |
曝光时间 | 12us-30s | |
有效增益 | 1~16X | |
响应光谱 | 380nm ~ 650nm | |
工作模式 | 逐行扫描 / 连续输出 | |
触发模式 | 软触发 | |
曝光模式 | 电子卷帘快门 | |
A / D转换 | 12Bit | |
曝光功能 | 手动曝光 / 自动曝光 / 区域曝光 | |
白平衡 | 自动白平衡 / 一键白平衡 / 区域白平衡 | |
图像格式 | TIF、BMP、JPG、RAW | |
图像缓存 | 128MB | |
软件接口 | DirectShow / TWAIN | |
操作系统 | Windows XP 32Bit;Windows 7/8/10 32/64Bit | |
数据接口 | USB3.0 5Gbps B型接口 | |
电源供应 | USB 5V供电 | |
工作环境 | 工作温度:0~40℃;工作湿度:10%~90%RH(无凝结) | |
尺寸 | 108.5mm*106.5mm*62.5mm | |